مركز سمايلي لطب الأسنان
ابتسامتك هي بدايتنا لتحقيق حلمك
من نحن
مركز سمايلي لطب الأسنان هو وجهتك المثالية للحصول على ابتسامة صحية وجميلة. نحن نجمع بين الخبرة الطبية العالية والتكنولوجيا المتقدمة لتقديم أفضل خدمات طب الأسنان في بيئة مريحة وآمنة.
علاج العصب
علاج جذور الأسنان بأحدث التقنيات
الحشوات التجميلية
حشوات تجميلية وتبييض الأسنان
جراحة الفم والزراعة
زراعة الأسنان والجراحات المتقدمة
طب أسنان الأطفال
رعاية خاصة لأسنان الأطفال
طب الفم والتشخيص
تشخيص وعلاج أمراض الفم
مؤسس المركز
د. محمد علي شلبي
مؤسس ومدير مركز سمايلي لطب الأسنان
بخبرة تزيد عن 11 عاماً في مجال طب الأسنان، أسس د. محمد عتريس مركز سمايلي لطب الأسنان عام 2014 بهدف تقديم أفضل الخدمات الطبية والتقنيات الحديثة في مجال طب الأسنان. المركز يقدم خدمات شاملة تشمل علاج العصب، التجميل، الزراعة، وطب أسنان الأطفال.
أطباؤنا المتميزون
د. محمد عتريس
أخصائي علاج العصب
خبرة تزيد عن 10 سنوات في علاج جذور الأسنان بأحدث التقنيات العالمية
د. محمد جادو
أخصائي جراحة الفم والزراعة
خبير في زراعة الأسنان والجراحات الدقيقة للفم والفكين
د. ايمان درويش
أخصائية طب أسنان الأطفال
متخصصة في علاج أسنان الأطفال بطرق حديثة وبيئة مريحة
د. روان عامر
أخصائي طب الفم والتشخيص
متخصص في تشخيص وعلاج أمراض الفم والوقاية منها
حالاتنا المميزة
شاهد التحول المذهل في ابتسامات مرضانا
تجميل الأسنان الأمامية
تبييض وتجميل بالحشوات التجميلية
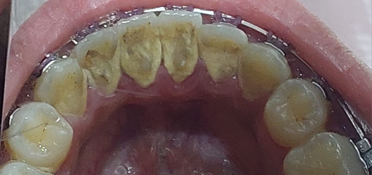
تنظيف الجير المتراكم
استعادة الابتسامة الكاملة و الحفاظ على صحة الاسنان
الحفاظ على صحة العصب و تغطيته بالطربوش المعدن
الحفاظ على صحة الاسنان و العصب
زراعة الأسنان المتقدمة
تقنيات زراعة الأسنان بأحدث الطرق والمواد المتطورة لضمان النجاح والاستقرار طويل المدى
إعادة تكوين الأنسجة الموجهة
تقنية متقدمة لإعادة بناء العظام والأنسجة الداعمة للأسنان باستخدام أغشية ومواد بيولوجية متطورة
علاج انحسار اللثة
علاج متخصص لانحسار اللثة وإعادة بناء الأنسجة اللثوية لحماية جذور الأسنان وتحسين المظهر الجمالي
زراعة الأسنان المتقدمة
تقنيات زراعة الأسنان بأحدث الطرق والمواد المتطورة لضمان النجاح والاستقرار طويل المدى
إعادة تكوين الأنسجة الموجهة
تقنية متقدمة لإعادة بناء العظام والأنسجة الداعمة للأسنان باستخدام أغشية ومواد بيولوجية متطورة
زراعة الأسنان المتقدمة
تقنيات زراعة الأسنان بأحدث الطرق والمواد المتطورة لضمان النجاح والاستقرار طويل المدى
حشوات تجميلية
تحويل كامل للابتسامة بالفينير
تجميل الضروس الخلفية و استعادة وظيفتها
استعادة وظيفة الضروس الخلفية و تجميلها
تجميل الضروس الخلفية للأطفال و استعادة وظيفتها
استعادة وظيفة الضروس الخلفية للأطفال و تجميلها
تواصل معنا
العنوان
ميدان نادي المعلمين - أمام مركز دلتا للأشعة, Quweisna, Egypt